Smile Transformations Real Patients, Real Results
Patient Testimonial Videos
“It definitely saved my life.”
Ghada arrived at Signature Dental with years of hesitation around dental care. After choosing implant dentures, she experienced a powerful transformation—restoring her smile, comfort, and confidence. With the right team, implant dentures and other forms of dental implants can open the door to a healthier, more confident life.
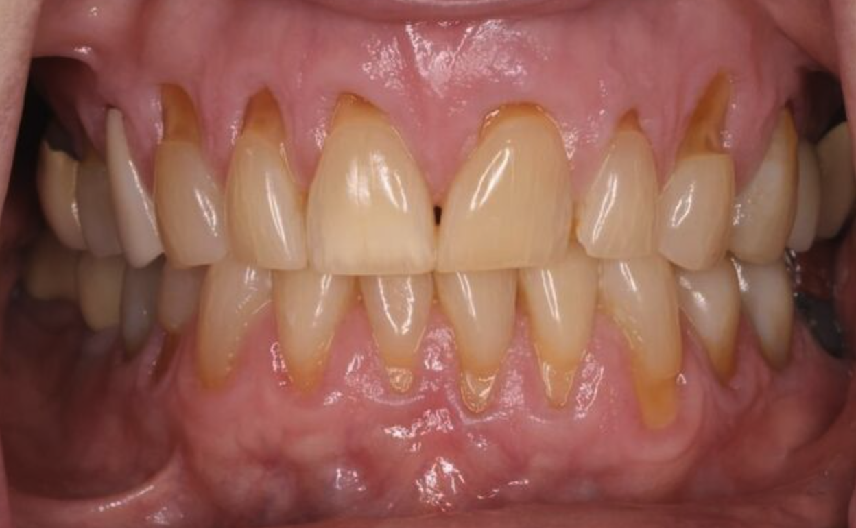
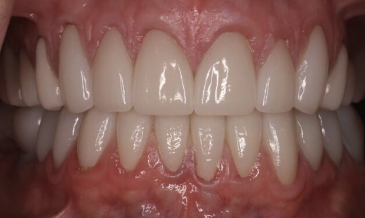
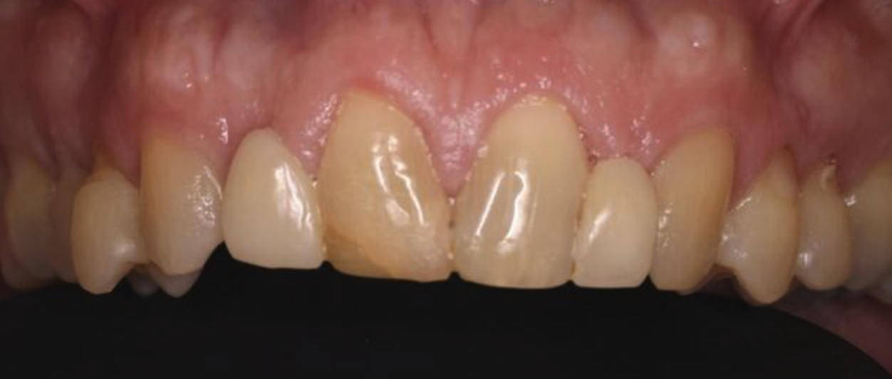
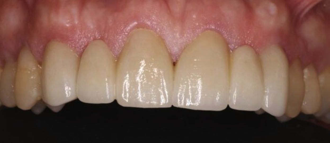
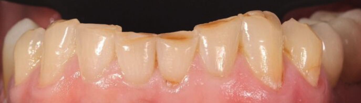
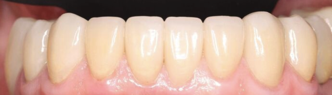
“I knew they had my best interests at heart.”
Luanne arrived at Signature Dental in discomfort, unsure of her next steps. Through a personalized treatment plan that evolved over time, she achieved a full transformation and lasting relief from dental pain. Dental crowns played a key role in restoring both her comfort and confidence—and they can do the same for you.
















